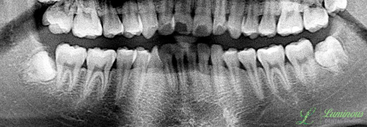
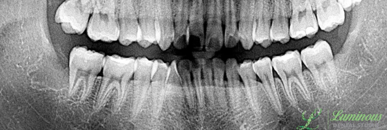
Impacted third molars extracted in Frisco, TX by Minho Chang DMD.
Procedure Details
Location
Popular Searches
* All information subject to change. Images may contain models. Individual results are not guaranteed and may vary.
* All information subject to change. Images may contain models. Individual results are not guaranteed and may vary.