Wisdom Teeth (Wisdom Teeth Removal) in Frisco, TX

32 Services ( View All )

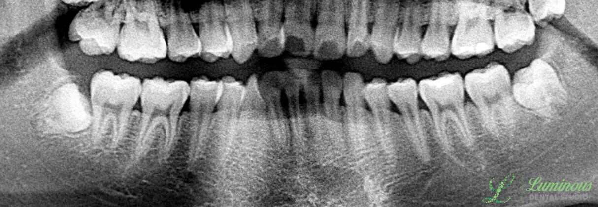
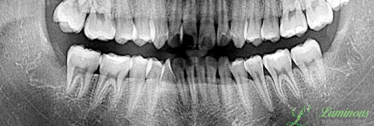
Wisdom Teeth Overview

Your wisdom teeth (third molars) can cause some serious problems and damage to your overall dental health if you need to have them removed. Luminous Dental Studio offers nonsurgical and surgical wisdom teeth extractions with our experienced general dentists, Dr. Minho Chang and Dr. Nam Kim. When it is time to make the decision on how to take out the wisdom teeth, you can rely on our Luminous Dental Studio dentists to provide you with state-of-the-art technologies to diagnose the problem and to design a strategy that has your best interest at heart. We will capture your wisdom teeth in digital x-rays to check for signs of infection, what they are doing to the surrounding teeth and gums, and whether or not a bone will have to be removed to get an impacted wisdom tooth out. Our Luminous Dental Studio dentists, Dr. Chang and Dr. Kim, can extract troublesome teeth quickly and comfortably. Book your appointment to discuss tooth extractions.

Wisdom Teeth Candidates

Older children and young adults are the usual candidates for the removal of their wisdom teeth. The type of extraction you have is based on the health of each tooth. Some patients will qualify for a nonsurgical extraction (or traditional extraction) for removal. Candidates for the surgical removal of a wisdom tooth may already be experiencing dental problems, such as impaction, overcrowding, an infection, and more. There are several indications of an impacted tooth that will tell Dr. Kim or Dr. Chang how to proceed with the removal. If you do not have an impaction, you would make an ideal candidate for nonsurgical extraction. In the event that you have impacted third molars (even if they have not erupted out of the gumline), a surgical approach may be necessary.

Your wisdom teeth will be examined for the following factors:

  • Has the wisdom tooth erupted outside of the gum tissue?
  • How is the tooth positioned in the gum?
  • Is the tooth impacted?
  • If a tooth is impacted, is it causing an infection or swelling of the face or jaw?
  • How are the other teeth responding?

 

Wisdom Teeth Expectations

Nonsurgical wisdom teeth extractions
Surgery is not always necessary for the removal of the third molars. Using a local anesthetic and possibly nitrous oxide sedation, our dentists can skillfully remove your tooth or teeth with forceps. By moving the tooth back and forth with the forceps, it should come out with a gentle pull. We will give you aftercare instructions on how to not get a painful "dry socket" after an extraction.

Surgical wisdom teeth extractions
There are two ways we can surgically remove your wisdom teeth. Our dentists may recommend surgically removing the whole tooth or by breaking it up into sections. You will have a surgical plan for each tooth that is to be removed. The type of anesthesia and sedation you would need will be decided during your treatment planning session. For the whole tooth surgical extraction, your dentist would make an incision in the gum to take out anything that is obstructing the molar, and then take out the tooth. If you have to have the tooth removed in sections, your dentist will take pieces of the tooth out through the incision in the gumline, which will be closed with a suture once the tooth is out.

There are no replacement restorations needed for the wisdom teeth after removal.

Wisdom Teeth Follow-Up

Please keep your follow-up appointments after your extraction. We will give you a detail instruction list of what you need to do to safely recover from your extractions without complications. If you do experience complications, like severe pain, infection, swelling, or fever, please call our office immediately.

When It's time to extract

Having your wisdom teeth removed (with or without surgery), our dentists, Dr. Kim and Dr. Chang, will ensure that you have an experience that is centered on your health and well-being. Our patient-centered approach to wisdom teeth removal extends to you whether you need one tooth, or all four wisdom teeth surgically removed. Call today to schedule your first extraction consultation.

Related Services

*Individual results are not guaranteed and may vary from person to person. Images may contain models.