Dental Crowns in Frisco, TX

32 Services ( View All )

What is a dental crown?

If a single tooth is damaged or worn down, it can be protected with a dental crown. Also known as a cap, crowns are custom made to fit over your tooth and colored to match your surrounding teeth for a seamless appearance. At Luminous Dental Studio in Frisco, TX, a dental crown may be used to repair the damage of a large cavity, protect a weak tooth, restore a cracked tooth, or cover a discolored tooth. Our general dentists, Dr. Minho Chang and Dr. Kim Nam offer crowns made by a local laboratory to match your other teeth, including strong dental ceramics, metal, and porcelain over metal. Schedule a consultation with Dr. Nam or Dr. Chang to learn about how a dental crown can stabilize, strengthen, and repair a tooth while also improving the overall health and appearance of your smile.

am i a candidate for a dental crown?

Dental crowns can be used to protect a tooth weakened by decay to keep it from breaking, or they can hold parts of a tooth together that have already cracked. Your new crown can also be used to fix a tooth that is loose or extremely worn down. It can be utilized to support a tooth with a large cavity that is not appropriate for a normal filling, to hold a dental bridge in place, or to cover misshapen or discolored teeth. During your consultation, Dr. Nam or Dr. Chang will go over your options and help you select the best crown for your needs.

How do dental crowns work?

During your consultation, we will take digital x-rays and a 3D digital impression of your tooth so the crown can be custom-made. If needed, a temporary crown can be placed over your tooth while your custom crown is being made by a local laboratory. Our crowns are made from the same ceramic block and milled by CAD/CAM technology. We can also send them the right shade to make the crown for the color to match your other teeth.

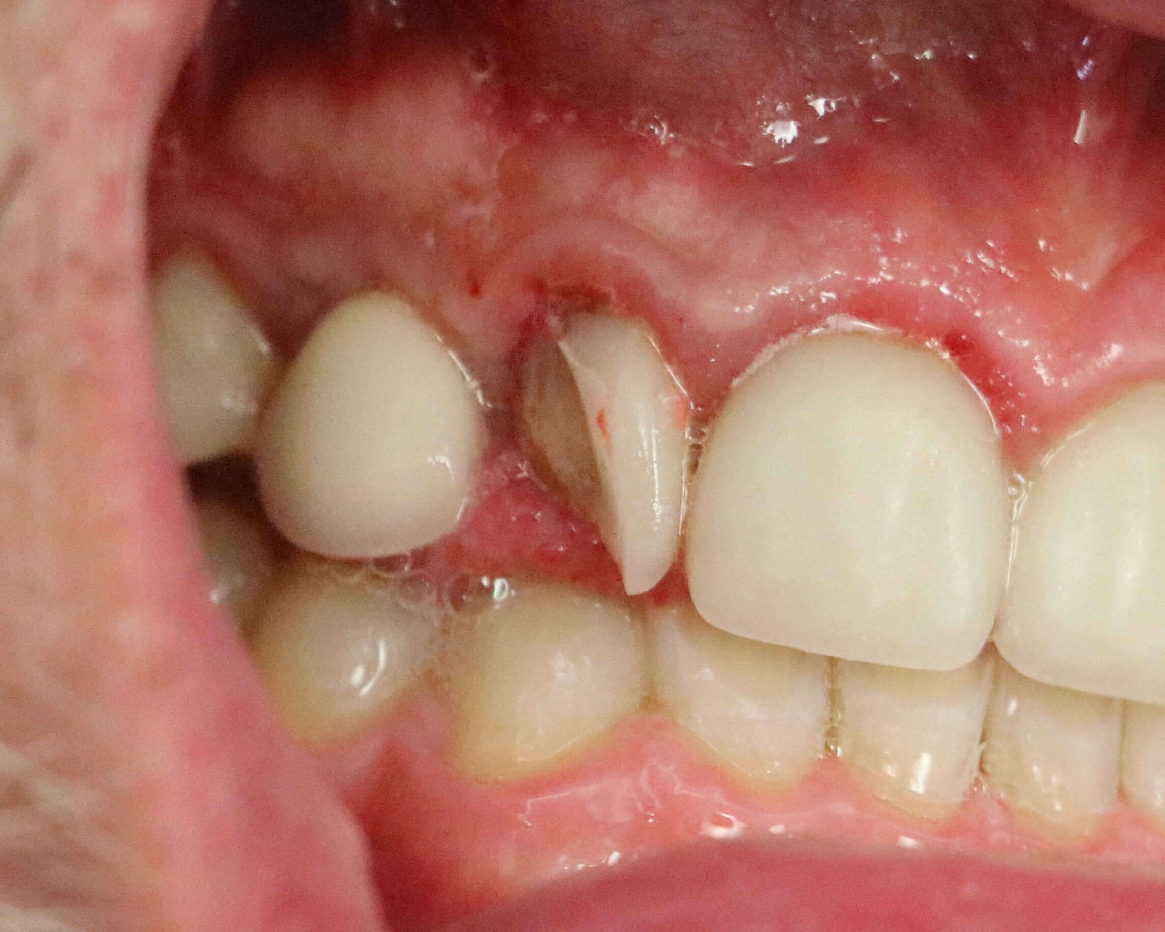
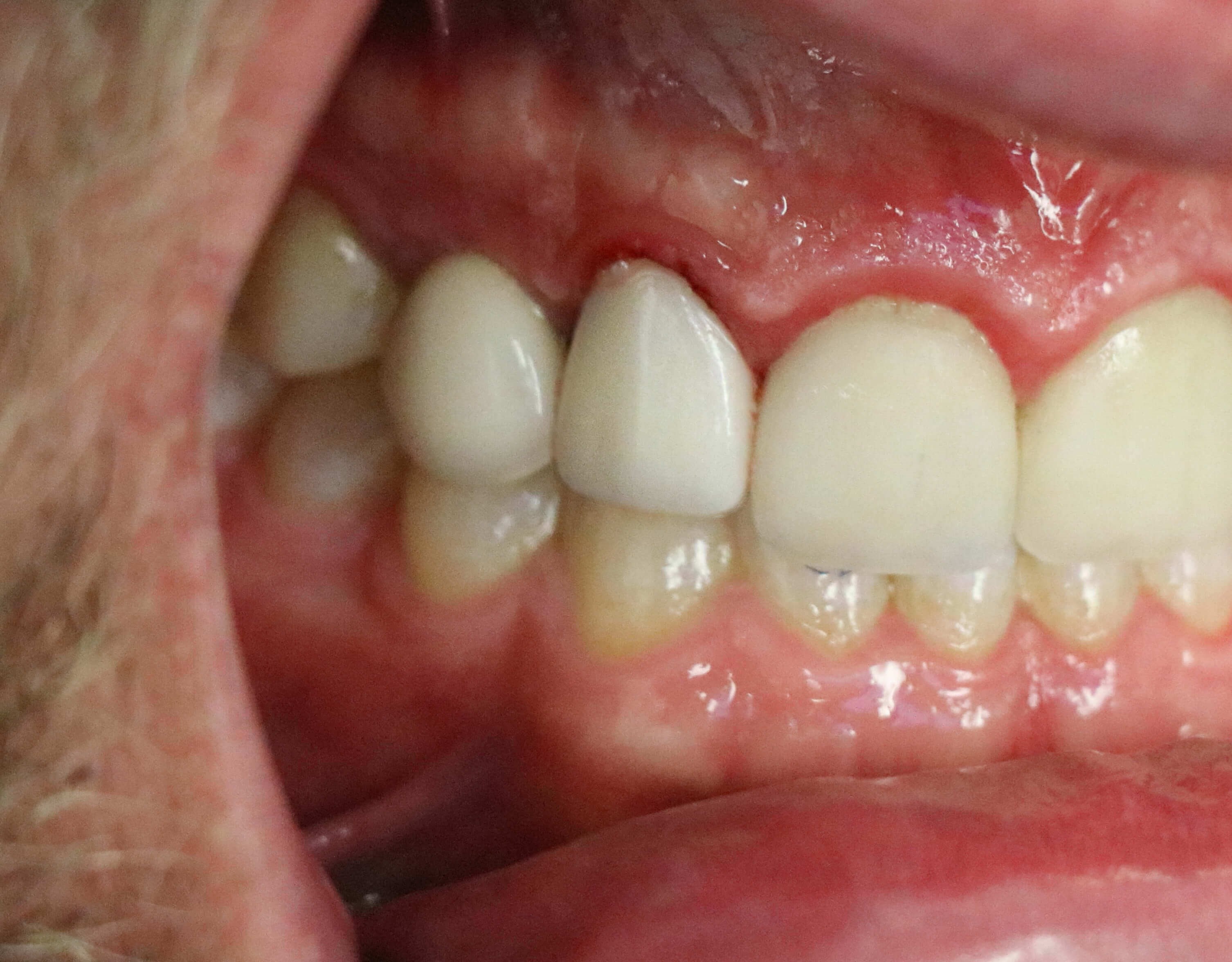
Once your crown is ready, the area to be treated will be numbed with a local anesthetic. Nitrous oxide sedation may be an option if you feel like you may need it to get you through the process without fear or anxiety. Once you are ready, Dr. Nam or Dr. Chang will prepare the tooth by removing the defected portion of the tooth and any areas of decay (by filing it down) to make room for the crown. The crown will be cemented onto the tooth. Once set, your dentist will adjust the fit — so your bite is correct.

How do you care for a dental crown?

Since local anesthesia with or without laughing gas was given during your treatment, you should be able to resume your day as you normally would once the appointment is over. Dr. Chang, Dr. Kim, or a member of their team will go over the best way to care for your new crown, including foods to avoid and the best way to keep it clean. In future preventive exams at Luminous Dental Studio, we will assess your crown and adjust if needed. We will let you know when the crown needs to be replaced, but with proper care, it should last for many years. If you experience any problems with your crown (it becomes loose or falls out), contact our office for help. Do not try to fix it or put it back in yourself since this can lead to a bad fit, pain, or infection.

Dental Crowns FAQ

When do you need a dental crown?

Dental crowns are a great solution for teeth that are:

  • Decayed
  • Weakened
  • Cracked
  • Worn down
  • Chipped
  • Discolored or stained
  • Misshaped

Do dental crowns look natural?

Yes, they do. Dental crowns are made specifically to match the color of your natural teeth so that they fit seamlessly into your smile.

Does having a dental crown placed hurt?

While some people may find the experience uncomfortable, having a dental crown placed is similar to getting a filling. Dr. Chang or Dr. Nam will use a local anesthetic to numb the tooth to be treated to keep you comfortable during the procedure. If pain is a concern, Luminous Dental Studio offers nitrous oxide sedation and IV sedation to make sure your procedure is comfortable and worry-free.

How long do dental crowns last?

With proper oral hygiene and regular dental checkups, dental crowns can last up to 10 years and, in some cases, up to 20 years or more.

How many appointments are needed for dental crowns?

Having a dental crown placed is a two-step process, meaning you will typically need two appointments. The first appointment is to take an impression of your teeth and prep the tooth. After the tooth is prepared, a temporary crown is placed. After your customized crown is ready, you'll come in for a second appointment where we will install your permanent crown.

fix your smile with a natural look

A single missing or damaged tooth can be easily treated with a custom dental crown at Luminous Dental Studio. Talk to Dr. Chang or Dr. Nam about how a crown can protect your tooth from further damage and keep your whole mouth healthy. A custom-made crown will match your natural teeth — so your smile remains beautiful. Contact our office in Frisco, TX, to schedule a consultation.

Related Services

Related Posts

*Individual results are not guaranteed and may vary from person to person. Images may contain models.